ライオン歯科クリニック
〒902-0078 那覇市識名3-17-18
(識名トンネル入口)
TEL:098-832-1118 FAX:098-832-6487




 

一般歯科

まず、初診時(初めていらした時)に主訴(痛い、腫れた、詰め物が取れた等)に対して、患者さんが不都合不便に感じてるところを集中的に解消します。主訴を解消出来ましたら、その事が起きた原因と、咬み合せ、歯の清掃状態、歯茎の状態、虫歯の有無等、お口の中の全体を説明しております。

患者さんの中には、主訴のみの治療希望の方もおられますから、その方には問題のところが治り次第、治療終了とし、悪いところを全て治したいという方には、お口の状態全てをご報告して、その中で患者さんが望む部位、治療法を選択して頂くように考えております。
「○○○をしなければいけません。」とか、「治さなければだめですよ。」などとは言いません。ただし、あまり好ましくない状態の場合には、放置した場合におこる問題点についてお伝えいたします。

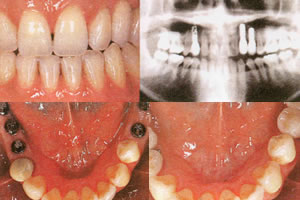
インプラント

一般的に歯科でインプラントといえば、人工歯根を意味しています。人工歯根とはいえ、歯槽骨内でしっかり固定されるところから「第2の永久歯」とも呼ばれています。

処置は歯が抜けたところに、金属などの土台を入れ、その上に義歯を取り付けて固定するもの。歯ぐきのドテが低くて、義歯が合わない人や、ブリッジなどで健康な歯を削るのがいや、という人に向いています。また一本から総義歯まで、どのような治療も可能で、残った歯に負担をかけないのも特徴です。

セラミック治療

虫歯の治療は、虫歯の部分を削り取りその穴を埋めるか、穴が大きい場合はクラウンをかぶせます。その際、保険がきくこともあり郷土も優れている事から金属が使用されることが多いようです。

でも笑ったときやちょっと大きく口を開けたとき、キラッと光る奥歯を気にしている人も多いのでは。こんな場合は、この金属を外して歯の色に近いセラミック製のものに交換すれば、治療後もすっかり目立たなくなります。

オールセラミックスクラウン
エンプレス・プロセラ・ラミネードベニア・ジャケットクラウン・セラミックインレー

タルセラミックスクラウン
ノーベルバイオケアー・ノーベルガイド

ホワイトニング

コーヒー紅茶の色素が歯の表面のエナメル質の内部に沈着してしまった場合や、歳をとるに連れてだんだんと歯が黄色くなってきた場合などは、クリーニングでは歯を白くキレイにする事ができません。そんなときにはホワイトニングという方法があります。

この方法なら、自分の本来の歯の色よりも白くする事が可能です。神経を処理済の歯には、歯の中に薬品を入れて漂白しますが、神経が生きている歯に行うホワイトニングの方法は、医師によりさまざまです。葉の表面に薬品を塗って漂白する方法や、自分の歯に合わせて作られたトレーにジェル上の漂白剤を注入して歯に装着する方法、レーザーを使用して白くする方法などがあります。

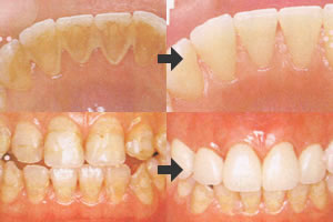
PMTC

プロフェッショナル(P)メカニカル(M)トゥース(T)クリーニング(C)の略で、ひと言で言えば専門家による歯の掃除の事。歯科医院で受ける事ができます。自分で正しいホームケアをすると共に、定期的にPMTCを受ければ、98%の確率で虫歯を防ぐ事ができます。

葉と葉の間、歯と歯肉の境目など、自分ではなかなか磨く事ができない部分も、柔らかいゴムで出来たカップなどを回転させることによって、歯肉炎、歯周病の予防ができ、歯肉が引き締まってきます。これからは、早期発見ではなく、未然に防いで、健康な歯を保つ心がけが必要。そのために効果的なのが、PMTCなのです。

歯列矯正

歯列矯正とは、歯に持続的に弱い力をかけ、人工的に歯を移動させては並びを変えてしまうことです。時間はかかりますが、特別な理由が無い限り、基本的には並びは歯列矯正でちりょうすることをおすすめします。

時間がかかる、装置が気になる、場合によっては歯を抜かなければならないなど気になる点もありますが、歯列矯正がもっとも自然で健康的な歯並びを作ってくれるからです。また、歯肉がしっかりとしていれば、何歳からでも矯正はできます。大人になってからでも遅くはありません。



Copyright(c)2016. lion-dental clinic. All Rights Reserved.